-
Choose your category:
-
- Finance
- Invisalign
- Lingual braces
- Restorative dentistry
- 3D Scanner
- General dentistry
- Veneers
- White Fillings
- Vivera Retainers
- Tooth Contouring
- Teeth Whitening
- Smile Makeover
- Single Tooth Implants
- Root Canal Treatment
- Porcelain Veneers
- Invisalign Moderate
- Invisalign Lite
- Invisalign Expressi7
- Invisalign Comprehensive
- Overdentures
- Emergency Dentist
- Dental Sealant
- Dental Hygienist
- Dental Crowns
- Dental Bridges
- Composite Bonding
- All on 4 Dental Implants
- Dental Implants
Restorative dentistry
Restorative dentistry is the replacement of missing or damaged teeth with the aim of restoring function and your natural smile and to prevent future oral health issues. Restorative dentistry includes:
- Fillings
- Implants
- Crowns
- Veneers
- Bridges
Dr Yazdi has specialized in conservative dentistry (MSc) at the Eastman Dental Hospital (UCL) and therefore approaches restorative dentistry in the most conservative way, preserving as much of your the teeth as possible. After all, you only get one set of teeth so here at W1 Dental we focus on conserving those.
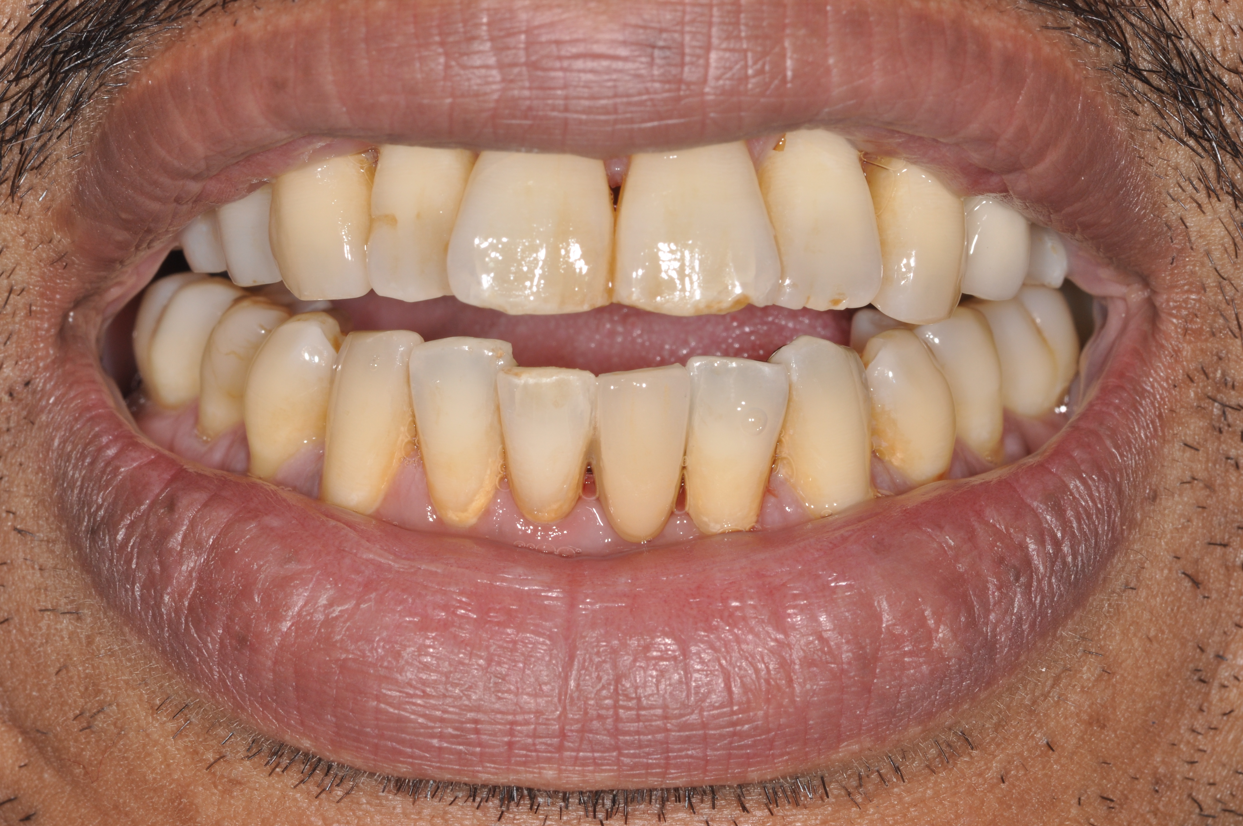
For example, if you have very worn down lower front teeth as the patient pictured below, instead of invasive and expensive crowns, Dr Yazdi may be able to restore these teeth with composite (white filling material) instead.
W1 Dental is an amalgam (mercury) free practice. We do not place ‘silver’ fillings but instead use composite which is matched to the colour of your teeth.
‘Went for a regular check-up. I found Dr Yazdi and Milly very friendly, open and professional. They took the time to talk to me about my status and eventual problems and ended up with an appointment to the hygienist. I liked the fact that being a first-time patient they didn't try to up-sell me anything or say that 'everything needs to be done from scratch again'. They appreciated the former work I had done to my teeth. Will go back again because I felt they care about their patients.’ – C. Chesoi